切换至 "中华医学电子期刊资源库"

中华关节外科杂志(电子版) ›› 2025, Vol. 19 ›› Issue (06) : 684 -690. doi: 10.3877/cma.j.issn.1674-134X.2025.06.006

基础论著

微囊细胞复合体分泌骨形态蛋白2的成骨诱导作用
郑仕聪, 宋丽娟, 陈鹏宇, 白波()   
  1. 510120 广州医科大学附属第一医院骨科
  • 收稿日期:2025-09-17 出版日期:2025-12-01
  • 通信作者: 白波
  • 基金资助:
    广州市科技局项目(202201010467); 广州市科技局项目(2024A03J1209); 广州医科大学科研能力提升项目

Osteoinductive effect of bone morphogenetic protein 2 secreted by microencapsulated cell complexes

Shicong Zheng, Lijuan Song, Pengyu Chen, Bo Bai()   

  1. Department of Orthopedics, the First Affiliated Hospital of Guangzhou Medical University, Guangzhou 510120, China
  • Received:2025-09-17 Published:2025-12-01
  • Corresponding author: Bo Bai
引用本文:

郑仕聪, 宋丽娟, 陈鹏宇, 白波. 微囊细胞复合体分泌骨形态蛋白2的成骨诱导作用[J/OL]. 中华关节外科杂志(电子版), 2025, 19(06): 684-690.

Shicong Zheng, Lijuan Song, Pengyu Chen, Bo Bai. Osteoinductive effect of bone morphogenetic protein 2 secreted by microencapsulated cell complexes[J/OL]. Chinese Journal of Joint Surgery(Electronic Edition), 2025, 19(06): 684-690.

目的

验证前期构建的微囊细胞复合体分泌骨形态发生蛋白2(BMP2)对周围骨髓间充质干细胞(BMSCs)的成骨影响。

方法

通过酶联免疫吸附试验检测诱导组(应用含强力霉素诱导剂的培养基)及对照组(应用不含强力霉素诱导剂的培养基)的微囊细胞复合体的BMP2释放;通过实时定量聚合酶链反应(qRT-qPCR)、蛋白质印迹(western blot)实验验证BMSC(-)、BMSC7 d、BMSC14 d各组的微囊细胞复合体对周围rBMSCs成骨基因、蛋白表达的影响;通过免疫组化验证对照组、未转染组、未诱导组、诱导组各组的微囊细胞复合体对周围rBMSCs的成骨诱导能力;茜红素染色、von Kossa染色验证空白组、对照组、诱导组各组微囊细胞复合体对周围rBMSCs的成骨分化影响。本研究所有实验重复3次;定量数据以±s描述,应用重复方差分析、单因素方差分析统计各组间差异。

结果

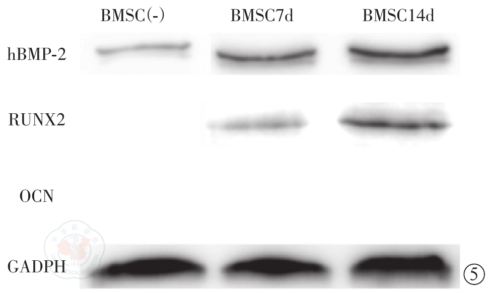
经强力霉素(DOX)诱导后诱导组的hBMP2蛋白分泌逐渐升高(F=234.6,R2= 0.9902,P<0.05,各组间Tukey多重检验均为P<0.05),第21天停止DOX诱导后hBMP2蛋白分泌较前下降(各组间Tukey多重检验:P<0.05);qRT-PCR实验证实经DOX诱导后微囊细胞复合体周围的rBMSCs细胞BMP2(F=26.7,P<0.05)、runt相关转录因子2‌(RUNX2)(F=115.9,P<0.05)、骨钙蛋白(OCN)(F=1652,P<0.05)表达均随时间延长而上调;western blot结果提示蛋白层面上经DOX诱导后微囊细胞复合体周围的rBMSCs细胞分泌BMP2、RUNX2蛋白;免疫组化证实该复合体能增强周围rBMSCs的RUNX2(F=110.3,P<0.05)、OCN(F=125.6,P<0.05)、Ⅰ型胶原蛋白‌(COL1)表达(F=157.2,P<0.05);染色实验进一步证实该复合体能增强周围rBMSCs的钙结节和钙盐沉积。

结论

该微囊细胞复合体可实现BMP2的按需释放,有效诱导周围BMSCs成骨分化,为基因增强型骨组织工程提供了新策略,具有潜在的临床应用价值。

Objective

To verify the effect of bone morphogenetic protein 2 (BMP2) secreted by the previously constructed microcapsule cell complex on osteogenic differentiation of surrounding bone mesenchymal stem cells (rBMSCs).

Methods

Enzyme-linked immunosorbent assay (ELISA) was used to detect BMP2 release from the microcapsule cell complex in the induction group (using medium containing doxycycline inducer) and the control group (using medium without doxycycline inducer). Real-time quantitative polymerase chain reaction (qRT-qPCR) and western blot experiments were used to verify the effect of the microcapsule cell complex in the BMSC(-), BMSC7 d, and BMSC14 d groups on the osteogenic gene and protein expression of surrounding rBMSCs. Immunohistochemistry was used to verify the osteogenic induction ability of the microcapsule cell complex in the control group, untransfected group, uninduced group, and induced group on surrounding rBMSCs. Alizarin staining and von Kossa staining were used to verify the effect of the microcapsule cell complex in the blank group, control group, and induced group on the osteogenic differentiation of surrounding rBMSCs. All experiments in this study were repeated three times; quantitative data were discribed as ±s. Repeated measurement analysis of variance (ANOVA) and one-way ANOVA were used to statistically analyze differences between groups.

Results

After doxycycline (DOX) induction, hBMP2 protein secretion gradually increased in the induced group (F=234.6, R2=0.9902, P<0.05, Tukey multiple test among groups: all P<0.05). After DOX induction stopped on day 21, hBMP2 protein secretion decreased compared with the previous data (Tukey multiple test among groups: all P<0.05). qRT-PCR experiments confirmed that after DOX induction, the expression of BMP2 (F=26.7, P<0.05), runt-related transcription factor 2 (RUNX2) (F=115.9, P<0.05), and osteocalcin (OCN) (F=1652, P<0.05) in rBMSCs surrounding the microcapsule cell complex was upregulated over time. Western blot results indicated that at the protein level, hBMP2 secretion in rBMSCs surrounding the microcapsule cell complex after DOX induction.BMP2 and RUNX2 proteins were detected. Immunohistochemistry confirmed that the complex enhanced the expression of RUNX2 (F=110.3, P<0.05), OCN (F=125.6, P<0.05), and type I collagen (COL1) in surrounding rBMSCs (F=157.2, P<0.05). Staining experiments further confirmed that the complex enhanced calcium nodules and calcium salt deposition in peripheral rBMSCs.

Conclusion

This microcapsule cell complex can achieve on-demand release of BMP2, effectively inducing osteogenic differentiation of peripheral BMSCs, providing a new strategy for gene-enhanced bone tissue engineering, and has potential clinical application value.

图1 BMP2、RUNX2、OCN、GADPH引物注:hBMP2-人骨形态发生蛋白2;RUNX2-runt相关转录因子2;OCN-骨钙蛋白;GAPDH-甘油醛-3-磷酸脱氢酶
Figure 1 BMP2, RUNX2, OCN, GADPH primersNote: hBMP2-human bone morphogenetic protein 2; RUNX2-runt-related transcription factor; OCN-osteocalcin; GAPDH-glyceraldehvde-3-phosphate dehydrogenase
图2 微囊细胞复合体释放hBMP2(人骨形态发生蛋白2)
Figure 2 The microcapsule cell complex releaseshBMP2(human bone morphogenetic protein 2)
图3 不同时间DOX(多西环素)(+)组微囊细胞复合体释放hBMP2(人骨形态发生蛋白2)浓度注:*-P<0.05
Figure 3 Concentration of hBMP2 (human bone morphogenetic protein 2) released by microcapsule cell complexes in the DOX(doxycycline) (+) group at different timesNote: *-P< 0.05
图4 微囊细胞复合体诱导周围rBMSCs(鼠骨髓间充质干细胞)表达成骨基因。图A为周围BMSCs中hBMP2基因在不同时间点的表达;图B为周围BMSCs中RUNX2基因在不同时间点的表达;图C为周围BMSCs中OCN基因在不同时间点的表达注:hBMP2-骨形态发生蛋白2;RUNX2-runt相关转录因子;OCN-骨钙蛋白;DOX-多西环素;BMSC(-)组-普通培养基;BMSC7 d组-含10 mg/L DOX的完全培养基培养7 d;BMSC14 d组-含10 mg/L DOX的完全培养基培养14 d;*-P<0.05;**-P<0.01;***-P<0.001
Figure 4 Microcapsule cell complexes induce osteogenic gene expression in peripheral rBMSCs (rat bone marrow mesenchymal stem cells). A is hBMP2 gene expression in surrounding BMSCs at different time points; B is RUNX2 gene expression in surrounding BMSCs at different time points; C is OCN gene expression in surrounding BMSCs at different time pointsNote: hBMP2-human bone mophologenetic protein 2;RUNX2-runt related transcription;OCN-osteocalcin;DOX-doxycyclin;BMSC(-) group- cultured in normal medium; BMSC7 d group- cultured in complete medium containing 10 mg/L DOX for seven days; BMSC14 d group- cultured in complete medium containing 10 mg/L DOX for 14 days;*-P<0.05;**-P<0.01;***-P<0.001
图5 微囊细胞复合体诱导周围rBMSCs(鼠骨髓间充质干细胞)表达成骨蛋白
Figure 5 Microcapsule cell complexes induce osteoblast expression in surounding rBMSCs (rat bone marrow mesenchymal stem cells)
图6 微囊细胞复合体周围rBMSCs(鼠骨髓间充质干细胞)成骨相关蛋白免疫组化染色(×20)
Figure 6 Effects of microcapsule cell complex on osteogenic protein expression in surrounding rBMSCs (rat bone marrow mesenchymal stem cells) (×20)
表2 微囊细胞复合体光密度值(±s
Table 2 Optical density of microcapsule cell complex
图7 微囊细胞复合体影响周围rBMSCs(鼠骨髓间充质干细胞)细胞钙结节(茜红素染色)和钙盐沉积(von Kossa染色)(×4)
Figure 7 Microcyst cell complexes affect calcium nodules(alizarin red staining) and calcium salt deposition (von Kossa staining)in surrounding rBMSCs (rat bone marrow mesenchymal stem cells) (×4)
[1]
Putra NE, Xu J, Leeflang MA, et al. Additively manufactured biodegradable porous FeMn-akermanite scaffolds for critical-size bone defects: the first in vivo evaluation[J/OL]. Mater Today Bio, 2025, 34: 102123. DOI: 10.1016/j.mtbio.2025.102123.
[2]
Manawar S, Myrick E, Awad P, et al. Use of allograft bone matrix in clinical orthopedics[J]. Regen Med, 2024, 19(5): 247-256.
[3]
Mauffrey C, Barlow BT, Smith W. Management of segmental bone defects[J]. J Am AcadOrthopSurg, 2015, 23(3): 143-153.
[4]
March A, Castillo Aguirre SH, Eliseev R, et al. Long-term tissue engineered periosteum-mediated allograft healing is hindered due to persistent fibrosis and limited allograft remodeling[J/OL]. Bone Rep, 2025, 26: 101865. DOI: 10.1016/j.bonr.2025.101865.
[5]
Lv N, Li H, Hong L, et al. An electrospun membrane incorporating lipocalin 2-enhanced exosomes effectively facilitated the repair of critical bone defects[J/OL]. Int J BiolMacromol, 2025, 322(Pt 1): 146674. DOI: 10.1016/j.ijbiomac.2025.146674.
[6]
Putra NE, Leeflang MA, Klimopoulou M, et al. Extrusion-based 3D printing of biodegradable, osteogenic, paramagnetic, and porous FeMn-akermanite bone substitutes[J]. Acta Biomater, 2023, 162: 182-198.
[7]
Yan J, Qi S, Zhao Y, et al. 3D-printed triply periodic minimal surface ceramic scaffold loaded with bone morphogenetic protein-2 and zoledronic for cranium defect repairment[J/OL]. J Tissue Eng Regen Med, 2025, 2025: 9964384. DOI: 10.1155/term/9964384.
[8]
Surisaeng T, Wisitrasameewong W, Champaiboon C, et al. BMP-2 mRNA-transfected BMSCs promote superior calvarial bone regeneration[J/OL]. Sci Rep, 2025, 15(1): 15022. DOI: 10.1038/s41598-025-99979-6.
[9]
Panos JA, Coenen MJ, Nagelli CV, et al. Segmental defect healing in the presence or absence of recombinant human BMP2: Novel insights from a rat model[J]. J Orthop Res, 2023, 41(9): 1934-1944.
[10]
Bukharova TB, Nedorubova IA, Mokrousova VO, et al. Adenovirus-based gene therapy for bone regeneration: a comparative analysis of in vivo and ex vivo BMP2 gene delivery[J/OL]. Cells, 2023, 12(13): 1762. DOI: 10.3390/cells12131762.
[11]
Watson-Levings RS, Palmer GD, Levings PP, et al. Gene therapy in orthopaedics: progress and challenges in pre-clinical development and translation[J/OL]. Front BioengBiotechnol, 2022, 10: 901317. DOI: 10.3389/fbioe.2022.901317.
[12]
Du X, Huang F, Zhang S, et al. Carboxymethylcellulose with phenolic hydroxyl microcapsules enclosinggene-modified BMSCs for controlled BMP-2 release in vitro[J]. Artif Cells NanomedBiotechnol, 2017, 45(8): 1710-1720.
[13]
Li X, Asuncion F, Ominsky M, et al. High-dose romosozumab promoted bone regeneration of critical-size ulnar defect filled with demineralized bone matrix in nonhuman Primates[J]. J OrthopTranslat, 2025, 54: 1-7.
[14]
Zhang M, Matinlinna JP, Tsoi JKH, et al. Recent developments in biomaterials for long-bone segmental defect reconstruction: a narrative overview[J]. J Orthop Translat, 2019, 22: 26-33.
[15]
Min Q, Tan R, Zhang Y, et al. Multi-crosslinked strong and elastic bioglass/chitosan-cysteine hydrogels with controlled quercetin delivery for bone tissue engineering[J/OL]. Pharmaceutics, 2022, 14(10): 2048. DOI: 10.3390/pharmaceutics14102048.
[16]
Betz RR. Limitations of autograft and allograft: new synthetic solutions[J]. Orthopedics, 2002, 25(5 Suppl): s561-s570.
[17]
Zhang X, Jiang W, Xie C, et al. Msx1(+) stem cells recruited by bioactive tissue engineering graft for bone regeneration[J/OL]. Nat Commun, 2022, 13(1): 5211. DOI: 10.1038/s41467-022-32868-y.
[18]
Chen X, Li W, Ma Y, et al. Nano-assisted dynamically assembled hydrogels with strong tissue adhesion and proactive immunomodulation for bone defect repair[J]. Bioact Mater, 2025, 53: 480-494.
[19]
Sarkar A, Gallo MC, Bell JA, et al. Ex vivo regional gene therapy compared to recombinant BMP-2 for the treatment of critical-size bone defects: an in vivo single-cell RNA-sequencing study[J/OL]. Bioengineering, 2025, 12(1): 29. DOI: 10.3390/bioengineering12010029.
[20]
MegleiAY, Nedorubova IA, Basina VP, et al. Collagen-platelet-rich plasma mixed hydrogels as a pBMP2 delivery system for bone defect regeneration[J/OL]. Biomedicines, 2024, 12(11): 2461. DOI: 10.3390/biomedicines12112461.
[21]
Haidar ZS, Hamdy RC, Tabrizian M. Delivery of recombinant bone morphogenetic proteins for bone regeneration and repair. Part A: Current challenges in BMP delivery[J]. Biotechnol Lett, 2009, 31(12): 1817-1824.
[1] 郑永乐, 庞祖才, 陈家敏, 孙丙银. 骨碎补总黄酮抑制牵张成骨模型骨质疏松的作用研究[J/OL]. 中华关节外科杂志(电子版), 2024, 18(05): 604-608.
[2] 万文凯, 徐一宏, 徐卫东. 强直性脊柱炎的骨化研究进展[J/OL]. 中华关节外科杂志(电子版), 2019, 13(03): 348-352.
[3] 吴波, 罗永忠, 梁晓松, 李乃义, 周慧, 孙磊. 骨形态发生蛋白诱导移植物成骨化促进腱-骨愈合[J/OL]. 中华关节外科杂志(电子版), 2018, 12(03): 363-367.
[4] 喻幸娜, 侯世达, 黄弋欢, 曾融生. 下颌骨牵张成骨术后1 ~ 3年稳定性的回顾性研究[J/OL]. 中华口腔医学研究杂志(电子版), 2019, 13(02): 90-96.
[5] 陈慧敏, 钟奇帜, 黄紫华, 郭嘉欣, 王若旬, 麦穗. 改良扩孔介孔硅介导大鼠骨髓间充质干细胞成骨向分化[J/OL]. 中华口腔医学研究杂志(电子版), 2018, 12(03): 135-143.
[6] 唐倩, 陈建洪, 黄南楠, 彭助力, 梁焕友. 新型复合骨植入材料的体内成骨性能研究[J/OL]. 中华口腔医学研究杂志(电子版), 2010, 4(03): 232-238.
[7] 吴石磊, 刘勇, 邵增务, 田青. 骨组织细胞外泌体对骨代谢作用的研究现状[J/OL]. 中华老年骨科与康复电子杂志, 2018, 04(05): 308-311.
[8] 马晓龙, 刘强, 吴斗, 郑上团. 骨转换标志物在骨质疏松诊治中的分析评价及临床应用前景[J/OL]. 中华老年骨科与康复电子杂志, 2018, 04(01): 52-56.
[9] 中华医学会骨科学分会, 邢军超, 毕龙, 陈林, 董世武, 高梁斌, 侯天勇, 侯志勇, 黄伟, 靳慧勇, 李岩, 李忠海, 刘鹏, 刘曦明, 罗飞, 马锋, 沈杰, 宋锦璘, 唐佩福, 吴新宝, 徐宝山, 许建中, 徐永清, 颜滨, 杨鹏, 叶青, 殷国勇, 于腾波, 曾建成, 张长青, 张英泽, 张泽华, 赵枫, 周跃, 朱芸, 邹俊. 自体骨髓富集骨修复技术临床应用专家共识(2023版)[J/OL]. 中华卫生应急电子杂志, 2023, 09(03): 129-141.
阅读次数
全文


摘要


AI


AI小编
你好!我是《中华医学电子期刊资源库》AI小编,有什么可以帮您的吗?