切换至 "中华医学电子期刊资源库"

中华关节外科杂志(电子版) ›› 2020, Vol. 14 ›› Issue (03) : 296 -302. doi: 10.3877/cma.j.issn.1674-134X.2020.03.007

所属专题: 文献

临床论著

经胫骨隧道悬吊固定治疗半月板后根部撕脱损伤
彭晨健1, 袁滨2, 束昊2, 黄瑶2, 孙鲁宁2,()   
  1. 1. 210000 南京中医药大学附属南京中医院骨伤科
    2. 210000 南京,江苏省中医院运动医学中心
  • 收稿日期:2019-01-01 出版日期:2020-06-01
  • 通信作者: 孙鲁宁

Clinical outcomes of meniscus posterior root horn repair using trans-tibial pull-out suspensory technique

Chenjian Peng1, bin Yuan2, Hao Shu2, Yao Huang2, Luning Sun2,()   

  1. 1. Departmentof Orthopedics, Nanjing Hospital of Chinese Medicine Affiliated to Nanjing University of Chinese Medicine, Nanjing 210000, China
    2. Department of Sports Medicine Center, Jiangsu Province of TCM, Nanjing 210000, China
  • Received:2019-01-01 Published:2020-06-01
  • Corresponding author: Luning Sun
  • About author:
    Corresponding author: Sun Luning, Email:
引用本文:

彭晨健, 袁滨, 束昊, 黄瑶, 孙鲁宁. 经胫骨隧道悬吊固定治疗半月板后根部撕脱损伤[J/OL]. 中华关节外科杂志(电子版), 2020, 14(03): 296-302.

Chenjian Peng, bin Yuan, Hao Shu, Yao Huang, Luning Sun. Clinical outcomes of meniscus posterior root horn repair using trans-tibial pull-out suspensory technique[J/OL]. Chinese Journal of Joint Surgery(Electronic Edition), 2020, 14(03): 296-302.

目的

观察关节镜下经胫骨隧道拉出悬吊固定技术治疗半月板后根部撕脱损伤的临床效果。

方法

自2014年9月至2017年12月,对20例前交叉韧带损伤伴随半月板后根部撕脱损伤的患者,在前交叉韧带单束重建的同时采用关节镜下经胫骨隧道拉出悬吊固定技术修复半月板后根部撕脱损伤。纳入前交叉韧带损伤伴随半月板后根部撕脱损伤的患者,排除术前下肢力线异常者及合并软骨损伤者。术前和术后1年时通过Lysholm评分和Tegner评分对患者膝关节功能进行评估,并通过磁共振(MR)观察术后半月板后根部撕脱损伤愈合情况。定量资料比较采用配对样本t检验。

结果

所有患者均进行超过1年的随访,患者术后1年随访时Lysholm评分及Tegner评分较术前均有显著提高(t=7.98、5.55,均为P<0.05);且MR观察未发现半月板后根部再撕裂或半月板体部外凸。

结论

关节镜下经胫骨隧道拉出悬吊固定技术可将半月板后根部撕脱复位并稳定固定于其解剖止点区域,从而维持半月板的环状结构以期最大程度恢复膝关节的功能,短期临床效果良好。

Objective

To evaluate the clinical outcome of arthroscopic trans-tibia pull-out suepensory technique in the treatment of meniscus posterior horn root tear.

Methods

From September 2014 to December 2017, twenty patients with both anterior cruciate ligament injury and meniscus posterior horn root tear were treated with single bundle anterior cruciate ligament reconstruction and a trans-tibial pull-out suspensory meniscal repair technique. The cases combined with cartilage injury and abnormal mechanical line of lower limb were excluded. The knee function was evaluated by Lysholm score and Tegner score before operation and one year after operation, the healing of meniscus posterior horn root was observed by magnetic resonance (MR). Paired-t test was used for comparing quantitative data.

Results

All the patients had a more than one year follow-up. The Lysholm score and Tegner score of patients one year after operation are significantly higher than those before operation (t=7.98, 5.55 respectively, P<0.05), and MR showed no evidence of meniscal retear and extrusion.

Conclusion

Trans-tibial pull-out suspensory technique can anatomically fix the posterior horn root avulsion of meniscus, it can also restore the hoop of the meniscus, significantly improved the knee function, and achieve good short-term clinical outcome.

图1 关节镜下内侧半月板后根部胫骨隧道拉出悬吊固定技术。图A为探查发现的内侧半月板后根部撕脱损伤,红箭头所示;图B为前叉定位弓在内侧半月板后根部解剖附着处建立胫骨隧道;图C为缝合钩穿出半月板放出PDS(聚对二氧环己酮)线;图D为1号爱惜邦通过PDS线引入;图E为从胫骨隧道内进入抓钳抓取1号爱惜邦缝线游离端;图F为固定后的内侧半月板后根部,红箭头所示;MMPR(内侧半月板后根部)
图2 关节镜下外侧半月板后根部胫骨隧道拉出悬吊固定技术缝合。图A为探查发现的外侧半月板后根部撕脱损伤,红箭头所示;图B为前叉定位弓在外侧半月板后根部解剖附着处建立胫骨隧道;图C为缝合钩穿出半月板放出PDS(聚对二氧环已酮)线;图D为1号爱惜邦通过PDS线引入;图E为从胫骨隧道内进入抓钳抓取1号爱惜邦缝线游离端;图F为固定后的外侧半月板后根部,红箭头所示;LMPR(外侧半月板后根部)
表1 功能评分情况[n=20,(±s)]
图3 LMPHRT(外侧半月板后根部撕脱)合并ACL(前交叉韧带)损伤术前膝关节MR图像。图A为膝关节冠状位MRI,红箭头示LMPHRT;图B为膝关节矢状位MRI,红箭头示ACL损伤
图4 经胫骨隧道pull-out技术修复LMPHRT(外侧半月板后根部撕脱)同时行ACL(前交叉韧带)重建术后MR影像。图A为膝关节冠状位MRI,红箭头示半月板胫骨隧道情况,内口位于外侧半月板根部;图B为膝关节矢状位MRI,黄箭头示ACL重建后胫骨隧道,红箭头示半月板胫骨隧道情况,内口位于外侧半月板根部
图5 MMPHRT(内侧半月板后根部撕脱)合并ACL(前交叉韧带)损伤术前膝关节MR图像。图A为膝关节冠状位MRI,红箭头示MMPHRT;图B为膝关节矢状位MRI,红箭头示ACL损伤
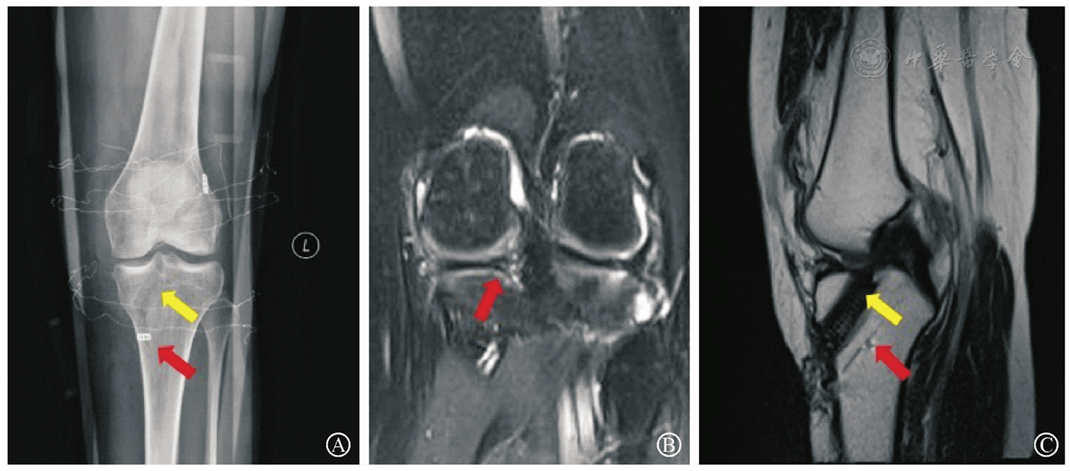
图6 经胫骨隧道拉出悬吊技术修复MMPHRT(内侧半月板后根部撕脱)+ACL(前交叉韧带)重建术后影像。图中红箭头示半月板胫骨隧道位置,黄箭头示ACL重建后胫骨隧道位置。图A为术后膝关节正位X线片;图B为术后1年膝关节冠状位MRI,示MMPHR愈合,半月板信号连续,未见T2信号;图C为术后1年膝关节矢状位MRI,示半月板胫骨隧道内口位于内侧半月板根部,骨隧道愈合,黄箭头示ACL重建后胫骨隧道位置良好,未见骨隧道扩大
[1]
Pache S, Aman ZS, Kennedy M, et al. Meniscal root tears:current concepts review[J]. Arch Bone Jt Surg, 2018, 6(4): 250-259.
[2]
Petersen W, Tillmann B. Collagenous fibril texture of the human knee joint menisci[J]. Anat Embryol (Berl), 1998, 197(4): 317-324.
[3]
Shybut TB, Vega CE, Haddad J, et al. Effect of lateral meniscal root tear on the stability of the anterior cruciate ligament-deficient knee[J]. Am J Sports Med, 2015, 43(4): 905-911.
[4]
Minami T, Muneta T, Sekiya I, et al. Lateral meniscus posterior root tear contributes to anterolateral rotational instability and meniscus extrusion in anterior cruciate ligament-injured patients[J]. Knee Surg Sports Traumatol Arthrosc, 2018, 26(4): 1174-1181.
[5]
Cinque ME, Chahla J, Moatshe G, et al. Meniscal root tears: a silent epidemic[J]. Br J Sports Med, 2018, 52(13): 872-876.
[6]
Bhatia S, La Prade CM, Ellman MB, et al. Meniscal root tears: significance, diagnosis, and treatment[J]. Am J Sports Med, 2014, 42(12): 3016-3030.
[7]
Moatshe G, Chahla J, Slette E, et al. Posterior meniscal root injuries[J]. Acta Orthop, 2016, 87(5): 452-458.
[8]
Bonasia DE, Pellegrino P, D′Amelio A, et al. Meniscal root tear repair: why, when and how?[J/OL]. Orthop Rev (Pavia), 2015, 7(2): 5792. doi: 10.4081/or.2015.5792.
[9]
Matheny LM, Ockuly AC, Steadman JR, et al. Posterior meniscus root tears: associated pathologies to assist as diagnostic tools[J]. Knee Surg Sports Traumatol Arthrosc, 2015, 23(10): 3127-3131.
[10]
Harner CD, Mauro CS, Lesniak BP, et al. Biomechanical consequences of a tear of the posterior root of the medial meniscus surgical technique[J]. J Bone Joint Surg Am,2009,91 Suppl 2(91): 257-270.
[11]
Kim SB, Ha JK, Lee SW, et al. Medial meniscus root tear refixation: comparison of clinical,radiologic,and arthroscopic findings with medial meniscectomy[J]. Arthroscopy, 2011, 27(3): 346-354.
[12]
Hutchinson ID, Moran CJ, Potter HG, et al. Restoration of the meniscus: form and function[J]. Am J Sports Med, 2014, 42(4): 987-998.
[13]
Engelsohn E, Umans H. Marginal fractures of the medial tibial plateau: possible association with medial meniscal root tear[J]. Skeletal Radiol, 2007, 36(1): 73-76.
[14]
Jung YH, Choi NH, Oh JS. All-inside repair for a root tear of the medial meniscus using a suture anchor[J]. Am J Sports Med, 2012, 40(6): 1406-1411.
[15]
Lee SK, Yang BS, Park BM, et al. Medial meniscal root repair using curved guide and soft suture anchor[J]. Clin Orthop Surg, 2018, 10(1): 111-115.
[16]
Koenig JH, Ranawat AS, Umans HR. Meniscal root tears:diagnosis and treatment[J]. Arthroscopy, 2009, 25(9): 1025-1032.
[17]
Kopf S, Colvin AC, Muriuki M, et al. Meniscal root suturing techniques:implications for root fixation[J]. Am J Sports Med, 2011, 39(10): 2141-2146.
[18]
Raustol OA, Poelstra KA, Chhabra A. The meniscal ossicle revisited:etiology and an arthroscopic technique for treatment[J]. Arthroscopy, 2006, 22(687): e1-e3.
[19]
Kim YM, Rhee KJ, Lee JK, et al. Arthroscopic pullout repair of a complete radial tear of the tibial attachment site of the medial meniscus posterior horn[J]. Arthroscopy, 2006, 22(795): e1-e4.
[20]
Ahn JH, Wang JH, Yoo JC, et al. A pull-out suture for transection of the posterior horn of the medial meniscus:using a posterior trans-septal portal[J]. Knee Surg Sports Traumatol Arthrosc, 2007, 15(12): 1510-1513.
[21]
Ahn JH, Wang JH, Lim HC, et al. Double transosseous pull-out suture technique for transection of posterior horn of medial meniscus[J]. Arch Orthop Trauma Surg, 2009, 129(3): 387-392.
[22]
Kodama Y, Furumatsu T, Fujii M, et al. Pullout repair of a medial meniscus posterior root tear using a FasT-Fix all-inside suture technique[J]. Orthop Traumatol Surg Res, 2016, 102(7): 951-954.
[23]
Fujii M, Furumatsu T, Kodama Y, et al. A novel suture technique using the FasT-Fix combined with ultrabraid for pullout repair of the medial meniscus posterior root tear[J]. Eur J Orthop Surg Traumatol, 2017, 27(4): 559-562.
[24]
Laprade RF, Matheny LM, Moulton SG, et al. Posterior meniscal root repairs: outcomes of an anatomic transtibial pull-out technique[J]. Am J Sports Med, 2017, 45(4): 884-891.
[25]
Feucht MJ, Grande E, Brunhuber J, et al. Biomechanical comparison between suture anchor and transtibial pull-out repair for posterior medial meniscus root tears[J]. Am J Sports Med, 2014, 42(1): 187-193.
[26]
Moon HK, Koh YG, Kim YC, et al. Prognostic factors of arthroscopic pull-out repair for a posterior root tear of the medial meniscus[J]. Am J Sports Med, 2012, 40(5): 1138-1143.
[27]
Feucht MJ, Izadpanah K, Lacheta L, et al. Arthroscopic transtibial pullout repair for posterior meniscus root tears[J].Oper Orthop Traumatol, 2019,31(3): 248-260.
[28]
Nakamura R, Takahashi M, Kuroda K. Suture anchor repair for a medial meniscus posterior root tear combined with arthroscopic meniscal centralization and open wedge high tibial osteotomy[J]. Arthrosc Tech, 2018, 7(7): e755-e761.
[1] 苏介茂, 齐岩松, 王永祥, 魏宝刚, 马秉贤, 张鹏飞, 魏兴华, 徐永胜. 关节镜手术在早中期膝骨关节炎治疗的应用进展[J/OL]. 中华关节外科杂志(电子版), 2024, 18(05): 646-652.
[2] 杨滢甄, 黄子荣, 梁家敏, 黄晓芳, 胡艳, 朱伟民. 膝关节前交叉韧带重建术前康复治疗的研究进展[J/OL]. 中华关节外科杂志(电子版), 2024, 18(04): 538-544.
[3] 高小康, 张净宇, 刘金伟, 田东牧, 胡永成, 徐卫国. 连接型人工膝关节假体运动和负重模式的演变和进展[J/OL]. 中华关节外科杂志(电子版), 2024, 18(04): 505-516.
[4] 赵飞鸿, 陈颖杰, 林静芳, 郑晓春, 廖燕凌. 超声引导下周围神经阻滞对髋膝关节置换术后恢复的影响[J/OL]. 中华关节外科杂志(电子版), 2024, 18(04): 457-468.
[5] 蔡雨琦, 史尉利, 陶立元, 曹建夫, 崔国庆, 杨渝平. 支持带松解联合外侧成形治疗髌骨外侧过度挤压综合征[J/OL]. 中华关节外科杂志(电子版), 2024, 18(02): 186-192.
[6] 黄竞仪, 周俊志, 双峰, 徐达政. 前交叉韧带与髁间窝的解剖学比较及相关性研究[J/OL]. 中华关节外科杂志(电子版), 2024, 18(01): 86-91.
[7] 韩伟峰, 王典, 陈艺丹, 曾峥. 关节镜下半月板成形术与康复训练治疗中年退行性内侧半月板撕裂的疗效比较[J/OL]. 中华损伤与修复杂志(电子版), 2024, 19(02): 134-140.
[8] 高瑞, 康迪斯, 秦蘅, 胡月明, 初同伟, 代丽. 加速康复管理改善膝关节置换术后肺部感染并发症和疗效的Meta分析[J/OL]. 中华肺部疾病杂志(电子版), 2024, 17(02): 234-237.
[9] 宋庆成, 郑占乐, 王天瑞, 王宇钏, 张凯旋, 纳静, 蔚佳昊, 杨思繁, 宋九宏, 张英泽. “人老膝不老”:膝关节健康管理的全方位探索与实践[J/OL]. 中华老年骨科与康复电子杂志, 2024, 10(06): 321-324.
[10] 郑占乐, 王宇钏, 蔚佳昊, 宋庆成, 张凯旋, 纳静, 王天瑞, 宋九宏, 张英泽, 王娟. 保膝须“开膝”——“开膝”在膝骨关节炎中的临床应用价值[J/OL]. 中华老年骨科与康复电子杂志, 2024, 10(06): 325-330.
[11] 王浩汀, 尚运涛, 曹光, 张延祠, 李军勇. 胫骨高位截骨联合关节镜与单髁置换治疗单间室膝关节骨性关节炎的临床疗效比较[J/OL]. 中华老年骨科与康复电子杂志, 2024, 10(04): 229-236.
[12] 刘家伦, 连晓东, 王博, 周汇霖, 潘晓光, 李涛, 赵亮, 常恒瑞, 陈伟, 郑占乐. 应力分散角和SchatzkerⅡ、Ⅲ型胫骨平台骨折的相关性研究[J/OL]. 中华老年骨科与康复电子杂志, 2024, 10(01): 28-32.
[13] 邱红生, 林树体, 梁朝莹, 劳世高, 何荷. 模拟现实步态训练对膝关节前交叉韧带损伤的功能恢复及对跌倒恐惧的影响[J/OL]. 中华老年骨科与康复电子杂志, 2023, 09(06): 343-350.
[14] 于晓光, 秦永辉, 李佳, 贾国兴, 李军, 赵振栓, 刘国彬. 人工单髁置换术治疗膝关节内侧间室骨关节炎合并前交叉韧带功能不良的近期疗效[J/OL]. 中华临床医师杂志(电子版), 2024, 18(04): 337-342.
[15] 付庆鹏, 邓晓强, 高伟, 姜福民, 范永峰, 吴海贺, 齐岩松, 包呼日查, 徐永胜. 新型股骨测量定位器在全膝关节置换术中的临床应用[J/OL]. 中华临床医师杂志(电子版), 2023, 17(09): 980-987.
阅读次数
全文


摘要


AI


AI小编
你好!我是《中华医学电子期刊资源库》AI小编,有什么可以帮您的吗?