Home    中文  
 
  • Search
  • lucene Search
  • Citation
  • Fig/Tab
  • Adv Search
Just Accepted  |  Current Issue  |  Archive  |  Featured Articles  |  Most Read  |  Most Download  |  Most Cited

Chinese Journal of Joint Surgery(Electronic Edition) ›› 2023, Vol. 17 ›› Issue (06): 871-876. doi: 10.3877/cma.j.issn.1674-134X.2023.06.017

• Clinical Experience • Previous Articles     Next Articles

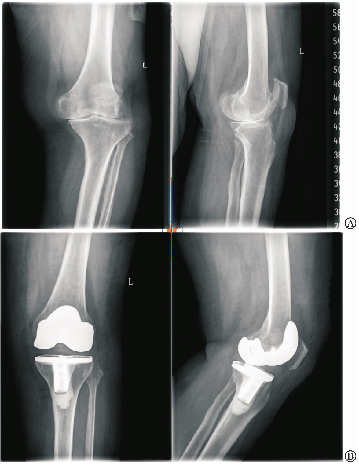
Application value of fixed and mobile platform prostheses in total knee arthroplasty

Hongyu Wang()   

  1. Fangshan Hospital, Beijing University of Traditional Chinese Medicine, Beijing 102401, China
  • Received:2023-04-12 Online:2023-12-01 Published:2023-12-26
  • Contact: Hongyu Wang

Abstract:

Objective

To compare the early effects of fixed platform prosthesis and mobile platform prosthesis in total knee Joint replacement (TKA).

Methods

Eighty five patients who had been treated with TKA in the Department of Orthopaedics and Traumatology of Fangshan District Hospital of Traditional Chinese Medicine from June 2019 to June 2021 were retrospectively selected. They were divided into fixed platform prosthesis group (n=40) and mobile platform prosthesis group (n=45) according to the different applications of platform prosthesis during surgery. Perioperative indicators and the incidence of complications within six months after surgery were collected. the knee joint score (HSS), visual analogue score (VAS), and gait spatiotemporal parameters of the New York Special Surgery Hospital before surgery and three and six months after surgery were comparee between the two groups.

Results

There was no statistically significant difference in intraoperative bleeding volume, surgical time, hospital stay, pad dislocation rate, and complication incidence between the two groups (P>0.05). At different time points, the stride length, stride speed, and single support phase of the affected side in the fixed group were higher than those in the active group, with statistically significant differences (F=21.203, 9.282, 20.388, all P<0.05). After three months of surgery, the stride length, stride speed, and single support phase of the affected side in the active group were higher than those in the fixed group (t=3.904, 14.725, 7.756, all P<0.05).

Conclusions

Both mobile and fixed platform prostheses can achieve gait improvement and satisfactory surgical results. Mobile platform prostheses in TKA may provide faster postoperative gait improvement, which can better promote early exercise and knee joint function recovery.

Key words: Arthroplasty, replacement, knee, Prostheses and implants, Treatment outcomes

京ICP 备07035254号-20
Copyright © Chinese Journal of Joint Surgery(Electronic Edition), All Rights Reserved.
Tel: 020-83189181,020-83062381 E-mail: cjojs1@126.com
Powered by Beijing Magtech Co. Ltd