切换至 "中华医学电子期刊资源库"

中华关节外科杂志(电子版) ›› 2020, Vol. 14 ›› Issue (03) : 387 -390. doi: 10.3877/cma.j.issn.1674-134X.2020.03.025

所属专题: 经典病例 文献

个案报道

双侧骨髓水肿综合征1例报道
李勃1,(), 李富能2, 端磊1   
  1. 1. 200080 虹口,上海中医药大学附属岳阳中西医结合医院
    2. 678400 德宏州人民医院
  • 收稿日期:2019-10-22 出版日期:2020-06-01
  • 通信作者: 李勃

One case report of bilateral bone marrow edema syndrome

Bo Li1(), Funeng Li2, Lei Duan1   

  • Received:2019-10-22 Published:2020-06-01
  • Corresponding author: Bo Li
引用本文:

李勃, 李富能, 端磊. 双侧骨髓水肿综合征1例报道[J/OL]. 中华关节外科杂志(电子版), 2020, 14(03): 387-390.

Bo Li, Funeng Li, Lei Duan. One case report of bilateral bone marrow edema syndrome[J/OL]. Chinese Journal of Joint Surgery(Electronic Edition), 2020, 14(03): 387-390.

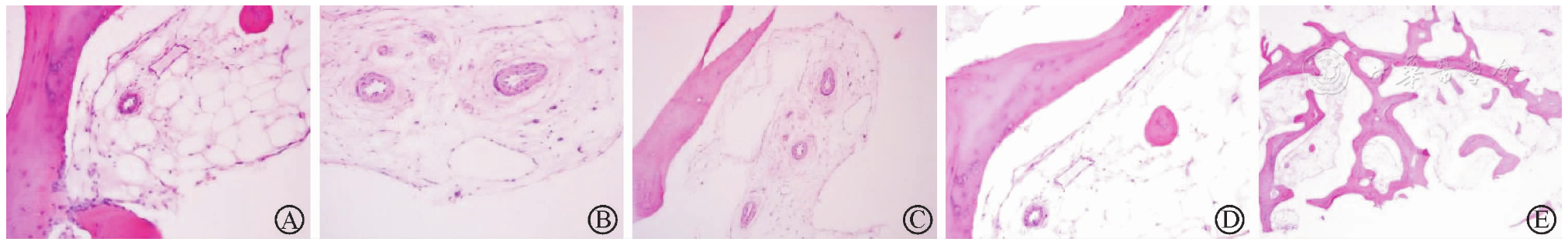
图1 左股骨头骨髓组织HE染色,示间隙增宽,血管周围水肿,未发现坏死骨组织。图A示骨髓间隙增宽、血管周围水肿(×200);图B示骨髓间隙增宽(×200);图C示骨髓间隙增宽血管周围水肿(×200);图D骨髓间隙增宽血管周围水肿(×200);图E骨髓间隙增宽血管周围水肿(×100)
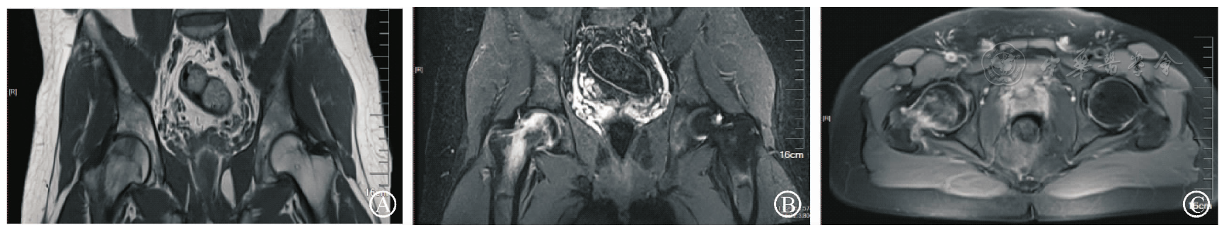
图2 患者2018年5月入院时双髋影像学图像。图A为双髋X线正位片,示双髋正常;图B为双髋MRI冠状面T1WI像,示左侧股骨头颈部骨髓水肿;图C为双髋MRI冠状面STIR像,示左侧股骨头颈部骨髓水肿;图D为双髋MRI横截面STIR像,示左侧股骨头颈部骨髓水肿
图3 患者2018年9月复诊双髋MRI。图A为双髋MRI冠状面T1WI像,示左侧股骨头颈部无骨髓水肿;图B为双髋MRI冠状面STIR像,示左侧股骨头颈部无骨髓水肿;图C为双髋MRI横截面STIR像,示左侧股骨头颈部无骨髓水肿
图4 2019年1月就诊时双髋MRI。图A为双髋MRI冠状面T1WI像,示右侧股骨头颈部骨髓水肿;图B为双髋MRI冠状面STIR像,示右侧股骨头颈部骨髓水肿;图C为双髋MRI横截面STIR像,示右侧股骨头颈部骨髓水肿
图5 2019年6月复查双髋MRI。图A为双髋MRIT1WI像冠状面无骨髓水肿;图B为双髋MRI冠状面STIR像无骨髓水肿;图C为双髋MRI横截面STIR像无骨髓水肿
[1]
赵凤朝,郭开今,李子荣.骨髓水肿综合征与股骨头缺血性坏死[J].中国修复重建外科杂志,2011,12(4): 408-411.
[2]
Mckiern FE. Musculoskeletal manifestations of mildosteogenesis imperfecta intheddult[J]. Osteoporos Int, 16(12): 1698-1702.
[3]
Neri R, Martini A, Trippi D, et al. Pasero G,reflex sympathetic dystrophy syndrome with microtrabecular fracture in a patient with osteogenesis imperfecta[J]. Clin Rheumatol, 1997, 16(4): 363-366.
[4]
Trevisan C, Ortolani S. Bone loss and recovery in regional migratory osteoporsis[J]. Osteoporos Int J, 2002, 13(11): 901-906.
[5]
Yang S, Kim J, Ryu JH, et al. Hypoxya-inducible facyor2alpha is a catabolic regulator of osteoarthritic cartilage destruction[J]. Nat Med, 2010, 16(6): 678-693.
[6]
Corado A, Neve A, Cantatore FP. Expression of vascular endothelial growth factorinnormal,osteoarthritic and osteoporotic osteoblasts[J]. Clin Exp Med, 2013, 13(1): 81-84.
[7]
Kim SY, Koo KH, Sub KT, et al. Fatty marrow conversion of the proximal femoral metaphysis in transient bone marrow edema syndrome[J]. Arch Orthop Trauma Surg, 2005, 125(6): 3390-3395.
[8]
Rodriguez S, Matsumoto O, Nugent KM, et al. Regional transinet osteoporosis of the foot and vitamin C deficiency[J]. Clin Rheumatol, 2007, 26(6): 976-978.
[9]
Shifrin LZ, Reis ND, Ziman H. et idiopathic transient osteoporosis of the hip[J]. J Bone Joint Surg Br, 1987, 69(5B): 769-773.
[10]
Akisue T, Matsumoto K, Tsumura N, et al. Bome marrow edema syndrome associated with uterine myoma: a case report[J]. Cline Orthop Relate Res, 2003(409): 151-157.
[11]
Dunstan CR, Evans RA, Somers NM. Bone death in transient regional osteoporosis[J]. Bone, 1992, 13(2): 161-165.
[12]
Trevisan C, Ortolani S. Bone loss and recovery in regional migratory osteoporosis[J]. Osteoporos lnt, 2002, 13(11): 901-906.
[13]
Miyanishi K, Yamamoto T, Nakashima Y, et al. Subchondral changes in transient osteoporosis of the hip[J]. Surg Am, 1995, 77(4): 616-624.
[14]
Guerra JJ, Stheinbqrg ME. Distinguishing transient osteoporosis of the hip[J]. Skeletal Radiol, 2001, 30(5): 255-261.
[15]
倪广晓,刘海金,韩娟,等.双向微波治疗踝关节骨髓水肿综合征疗效观察[J].现代中西医结合杂志,2015,18(19): 2098-2100.
[16]
Dagostino C, Romeo P, Lavanga V, et al. Effectiveness of extracorporeal shock wave therapy in bone marrow edema syndrome of the hip[J]. Rheumatol Int, 2014, 34(11): 1513-1518.
[17]
Gao F, Sun W, Li Z, et al. Extracorporeal shock wave therapy in the treatment of primary bone marrow edema syndrome of the knee:a prospective randomised controlled study[J]. BMC Musculoskelet Disord, 2015, 16(1): 379-380.
[18]
Simon MJ, Barvencik F, Luttke M, et al. Intravenous bisphosphonates and vitamin D in the treatment of bone marrow oedema in professional athletes[J]. Injury, 2014, 45(6): 981-987.
[19]
Baier C, Schaumburger J, Gotz J, et al. Bisphosphonates or prostacyclin in the treatment of bone marrow oedema syndrome of the knee and foot[J]. Rheumatol Int, 2013, 33(6): 1397-1402.
[20]
张龙,韩雪梅,谢科,等.针刺结合中药熏洗治疗股骨头骨髓水肿综合征18例[J].中医外治杂志,2014,23(6): 27-31.
No related articles found!
阅读次数
全文


摘要


AI


AI小编
你好!我是《中华医学电子期刊资源库》AI小编,有什么可以帮您的吗?