切换至 "中华医学电子期刊资源库"

中华关节外科杂志(电子版) ›› 2024, Vol. 18 ›› Issue (01) : 48 -53. doi: 10.3877/cma.j.issn.1674-134X.2024.01.007

临床论著

针刀治疗老年膝骨关节炎的肌骨超声特征与疗效相关性
唐艳1, 赵小虎2, 栗玉姣1, 顾向梅1,()   
  1. 1. 710018 西安凤城医院超声医学科
    2. 710008 西安,空军军医大学第一附属医院(西京医院)核医学科
  • 收稿日期:2022-03-10 出版日期:2024-02-01
  • 通信作者: 顾向梅

Correlation of musculoskeletal ultrasonography manifestation of knee with therapeutic effect in elderly knee osteoarthritis treated by acupotomy

Yan Tang1, Xiaohu Zhao2, Yujiao Li1, Xiangmei Gu1,()   

  1. 1. Sonography Deparment of Xi’an Fengcheng Hospital, Xi’an 710018, China
    2. The First Affiliated Hospital of the Air Force Medical University(Xijing Hospital)Nuclear medicine, Xi’an 710018, China
  • Received:2022-03-10 Published:2024-02-01
  • Corresponding author: Xiangmei Gu
引用本文:

唐艳, 赵小虎, 栗玉姣, 顾向梅. 针刀治疗老年膝骨关节炎的肌骨超声特征与疗效相关性[J/OL]. 中华关节外科杂志(电子版), 2024, 18(01): 48-53.

Yan Tang, Xiaohu Zhao, Yujiao Li, Xiangmei Gu. Correlation of musculoskeletal ultrasonography manifestation of knee with therapeutic effect in elderly knee osteoarthritis treated by acupotomy[J/OL]. Chinese Journal of Joint Surgery(Electronic Edition), 2024, 18(01): 48-53.

目的

观察肌骨超声在针刀治疗膝骨关节炎(KOA)患者中的影像学变化及与临床效果的相关性。

方法

随访观察西安凤城医院2019年3月至2021年3月期间收治的疑为KOA的患者110例(124膝)。纳入标准:符合KOA的诊断标准,正常沟通能力,临床资料完整,知情同意。排除标准:明显关节畸形,Kellgren-Lawrence(K-L)分级>Ⅲ级,存在心理精神障碍,近3个月内激素治疗,合并其他关节炎、严重心血管疾病、肝肾功能不全、凝血功能障碍、严重感染者。所有患者均采用针刀治疗,治疗前后行肌骨超声检查及MRI检查,并评价疼痛程度和膝关节功能,治疗前后采用配对t检验;计数资料采用卡方检验;相关性分析采用Pearson相关系数检验。两种方法的一致性比较采用一致性系数Kappa评估。两种方法的检出效能比较采用优势性卡方检验。

结果

MRI方法在Ⅰ、Ⅱ和Ⅲ级KOA患者中的阳性正确率(总均88.7%)均高于肌骨超声方法(总均85.5%);两法的一致性较好,κ=0.901;治疗后,滑膜厚度、关节软骨厚度和关节积液范围均较治疗前减低(t=34.717、36.923、49.372,均为P<0.05);治疗后所有患者VAS评分低于治疗前,差异有统计学意义(t=14.364,P<0.05);治疗后,所有患者的跛行、上下楼能力、承受疼痛能力、关节肿痛及下蹲起立得分均较治疗前提高,差异有统计学意义(t=4.804、6.226、9.955、6.545、6.992、26.355、27.707,均为P<0.05)。KOA患者的滑膜厚度、关节腔积液、内侧半月板膨出、外侧半月板膨出均与VAS评分呈正相关性(r=0.602、0.539、0.612、0.528,均为P<0.05),而与Lysholm呈负相关性(r=-0.215、-0.236、-0.291、-0.242,均为P<0.05) 。

结论

肌骨超声指标与VAS评分及关节功能等临床疗效相关性较好,对于KOA治疗效果的评价具有指导意义。

Objective

To observe the imaging changes of musculoskeletal ultrasound in patients with knee osteoarthritis (KOA) treated by acupotomy and its correlation with clinical results.

Methods

A total of 110 patients (124 knees) suspected of KOA admitted to Xi’an Fengcheng Hospital from March 2019 to March 2021 were followed up, including those who met the diagnostic criteria of KOA, had normal communication and communication skills, had complete clinical data, and signed informed consent. Exclusion criteria: obvious joint deformities, Kellgren-Lawrence rating scale >Ⅲ, psychological, and mental disorders, hormone therapy in the past three months, combined with rheumatism, rheumatoid, suppurative arthritis, severe cardiovascular disease, hepatic and renal insufficiency, coagulation dysfunction, and severe infection. All the patients were treated with acupotomy, musculoskeletal ultrasound and MRI before and after treatment, pain degree and knee joint function were evaluated, and paired t test was used before and after treatment. The statistical data were measured by chi square test. Pearson correlation coefficient test was used for correlation analysis. The consistency of the two methods was evaluated by kappa value. The detection efficiency of the two methods was compared by the dominant chi square test.

Results

The positive rate of MRI in patients with KOA of grade Ⅰ, Ⅱ and Ⅲ(88.7%) was higher than that of musculoskeletal ultrasound (85.5%). The consistency of the two methods was better, κ=0.901. After treatment, synovial membrane thickness, articular cartilage thickness and the range of articular effusion were all decreased compared with those before treatment (t=34.717, 36.923, 49.372, all P <0.05). The VAS score of all patients after treatment was lower than that before treatment, and the difference was statistically significant (t=14.364, P <0.05). Comparing with the data before treatment, claudication, ability to go up and down stairs, endurance of pain, joint swelling and pain, and squat-stand up scores of all the patients after treatment improved with statistically significant difference (t=4.804, 6.226, 9.955, 6.545, 6.992, 26.355, 27.707, all P < 0.05). The synovial thickness, articular effusion, medial meniscal swelling and lateral meniscal swelling of KOA patients were all positively correlated with VAS score (r=0.602, 0.539, 0.612, 0.528, all P <0.05). It was negatively correlated with Lysholm score (r=-0.215, -0.236, -0.291, -0.242, all P <0.05).

Conclusion

Musculoskeletal ultrasound index has a good correlation with clinical efficacy such as VAS score and joint function, which has guiding significance for the evaluation of the therapeutic effect of KOA.

表1 肌骨超声与MRI诊断阳性率
Table 1 Diagnostic positive rates of musculoskeletal ultrasound and MRI
表2 肌骨超声与MRI诊断一致性比较
Table 2 Comparison of consistency between musculoskeletal ultrasound and MRI diagnosis
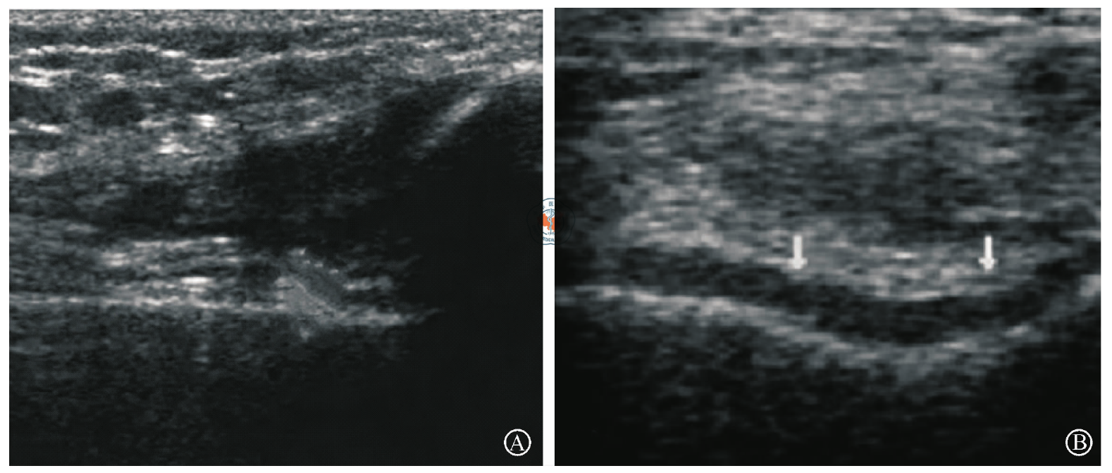
图1 KOA(膝骨关节炎)治疗前后膝关节两侧间隙超声图像。图A为入组时图像,示关节腔内存在大量积液,肌纤维排列紊乱,滑膜增生肥厚,肌腱端增生,腘窝囊肿,关节软骨变薄且毛糙,骨面连续性中断;图B为治疗后6个月图像,示关节腔内积液明显减少,肌纤维排列清晰注:箭头指示滑膜变薄,关节软骨光滑,腘窝囊肿消失,骨面平滑且连续
Figure 1 Ultrasound images of bilateral knee spaces of KOA patient before and after treatment. A is ultrasound image before treatment, showing that there was a large amount of fluid in the joint cavity, muscle fiber arrangement disorder, synovial hyperplasia and hyperplasia, tendon end hyperplasia, popliteal cyst, thin and rough articular cartilage, and continuity of bone surface was interrupted; B is ultrasound image six months after treatment, showing that the fluid accumulation in the joint cavity significantly reduced, the muscle fibers clearly arranged Note: the arrow indicated that the synovial membrane was thinner, the articular cartilage was smooth, the popliteal cyst disappeared, and the bone surface was smooth and continuous
表3 针刀治疗前后膝关节超声观察结果比较[n=124,mm,(±s)]
Table 3 Comparison of ultrasound observations before and after treatment
表4 治疗前后患者Lysholm评分比较[n=110,(±s)]
Table 4 Comparison of Lysholm scores of patients before and after treatment
表5 肌骨超声指标与VAS评分及Lysholm的相关性
Table 5 Correlation of musculoskeletal ultrasound indexes with VAS scores and Lysholm
[1]
Liu W, Fan Y, Wu Y, et al. Efficacy of acupuncture-related therapy in the treatment of knee osteoarthritis: a network meta-analysis of randomized controlled trials[J]. J Pain Res, 2021, 14: 2209-2228.
[2]
Huang C, Chan PK, Chiu KY, et al. Knee joint loadings are related to tibial torsional alignments in people with radiographic medial knee osteoarthritis[J/OL]. PLoS One, 2021, 16(7): e0255008. DOI: 10.1371/journal.pone.0255008.
[3]
王海珠. 四川省多山地区中老年人膝关节骨性关节炎的流行病学调查研究[J]. 中国老年保健医学2021, 19(3): 80-84.
[4]
董强,赵维毅,郑大军. 40例人工全膝关节置换术的临床疗效分析[J]. 当代医学2021, 27(18): 135-136.
[5]
吴思,李庆,王为民,等. 射频针刀治疗血瘀型膝关节骨性关节炎的临床疗效[J]. 中国中西医结合外科杂志2021, 27(3): 489-493.
[6]
么纯,王树东,林星星. 肌骨超声对针刀治疗膝关节骨性关节炎的疗效评价[J]. 西部医学2019, 31(4): 595-598, 603.
[7]
Tang X, Zhao M, Li W, et al. Nanoscale contrast agents for ultrasound imaging of musculoskeletal system[J/OL]. Diagnostics, 2022, 12(11): 2582. DOI: 10.3390/diagnostics12112582.
[8]
郑木如,陈国健,刘美冰. 高频超声在膝关节骨性关节炎康复治疗效果评估中的应用[J]. 现代医用影像学2021, 30(1): 143-146.
[9]
曹晓清,余凤,林海龙,等. 肌骨超声在针刀治疗膝骨关节炎患者的软组织变化情况应用[J]. 现代医用影像学2019, 28(11): 2542-2543.
[10]
罗丹,王琼芳,朱辉,等. 膝关节骨性关节炎患者肌骨超声滑膜病变表现与Lysholm评分的相关性及其临床应用分析[J]. 中国现代医生2019, 57(4): 115-117, 121.
[11]
许成燕,陈军香,王教明,等. 中国人群膝骨关节炎危险因素的Meta分析[J]. 中国循证医学杂志2021, 21(7): 772-778.
[12]
成丽,曹晓明,辛颖,等. 老年膝关节骨性关节炎患者健康素养现状及其影响因素分析[J]. 中华现代护理杂志2023, 29(2): 209-214.
[13]
杨顺杰,王令成,杨硕瑶,等. 关节镜手术治疗对早期膝骨关节炎的中期临床疗效[J]. 中国骨伤2023, 36(6): 502-507.
[14]
夏营营,张月慧. 膝骨关节炎患者X线诊断的特点及临床意义分析[J]. 中外女性健康研究2023(6): 123-124, 148.
[15]
秦玉华. 老年膝关节骨性关节炎的高频超声与MRI影像特征及诊断价值比较[J]. 中国老年保健医学2023, 21(2): 148-151.
[16]
罗骏,徐杰,陈彦丞,等. 内镜下微创前路全髋关节置换术早期疗效[J]. 中华医学杂志2021, 101(27): 2164-2169.
[17]
高曦,谢希,王文韬. MRI深度学习在膝关节骨性关节炎中的研究进展[J]. 磁共振成像2023, 14(6): 192-197.
[18]
屈瑾,李文静,孙焱,等. 膝骨性关节炎女性快速力量训练前后的肌肉MRI定量研究[J]. 国际医学放射学杂志2023, 46(4): 390-395, 401.
[19]
马萧童,张聪,郑运松,等. 膝骨性关节炎患者脑结构和功能变化的多模态MRI[J]. 分子影像学杂志2023, 46(1): 21-27.
[20]
朱陈,邓琪,温乔,等. 肌骨超声及MRI对膝关节退行性骨关节炎的诊断价值[J]. 分子影像学杂志2023, 46(2): 311-315.
[21]
李文韬,李宏伟. 中药内服配合针刺治疗膝骨性关节炎的临床效果[J]. 临床合理用药杂志2021, 14(20): 100-101.
[22]
刘琦,张旭,胡金玺. 塞来昔布胶囊联合盐酸氨基葡糖糖胶囊对膝关节骨性关节炎患者关节触痛及TNF-α、IL-1、IL-6水平的影响[J]. 临床合理用药杂志2021, 14(20): 102-103.
[23]
张栋,王庆甫,杨黎黎,等. 膝骨性关节炎的超声表现特点及其相关性研究[J]. 中国骨伤2018, 31(12): 1108-1113.
[1] 章建全, 程杰, 陈红琼, 闫磊. 采用ACR-TIRADS评估甲状腺消融区的调查研究[J/OL]. 中华医学超声杂志(电子版), 2024, 21(10): 966-971.
[2] 罗辉, 方晔. 品管圈在提高甲状腺结节细针穿刺检出率中的应用[J/OL]. 中华医学超声杂志(电子版), 2024, 21(10): 972-977.
[3] 杨忠, 时敬业, 邓学东, 姜纬, 殷林亮, 潘琦, 梁泓, 马建芳, 王珍奇, 张俊, 董姗姗. 产前超声在胎儿22q11.2 微缺失综合征中的应用价值[J/OL]. 中华医学超声杂志(电子版), 2024, 21(09): 852-858.
[4] 孙佳丽, 金琳, 沈崔琴, 陈晴晴, 林艳萍, 李朝军, 徐栋. 机器人辅助超声引导下经皮穿刺的体外实验研究[J/OL]. 中华医学超声杂志(电子版), 2024, 21(09): 884-889.
[5] 史学兵, 谢迎东, 谢霓, 徐超丽, 杨斌, 孙帼. 声辐射力弹性成像对不可切除肝细胞癌门静脉癌栓患者放射治疗效果的评价[J/OL]. 中华医学超声杂志(电子版), 2024, 21(08): 778-784.
[6] 王博冉, 乔春梅, 李春歌, 王欣, 王晓磊. 超声造影评估类风湿关节炎亚临床滑膜炎疾病进展的价值[J/OL]. 中华医学超声杂志(电子版), 2024, 21(08): 802-808.
[7] 李洋, 蔡金玉, 党晓智, 常婉英, 巨艳, 高毅, 宋宏萍. 基于深度学习的乳腺超声应变弹性图像生成模型的应用研究[J/OL]. 中华医学超声杂志(电子版), 2024, 21(06): 563-570.
[8] 洪玮, 叶细容, 刘枝红, 杨银凤, 吕志红. 超声影像组学联合临床病理特征预测乳腺癌新辅助化疗完全病理缓解的价值[J/OL]. 中华医学超声杂志(电子版), 2024, 21(06): 571-579.
[9] 项文静, 徐燕, 茹彤, 郑明明, 顾燕, 戴晨燕, 朱湘玉, 严陈晨. 神经学超声检查在产前诊断胼胝体异常中的应用价值[J/OL]. 中华医学超声杂志(电子版), 2024, 21(05): 470-476.
[10] 胡可, 鲁蓉. 基于多参数超声特征的中老年女性压力性尿失禁诊断模型研究[J/OL]. 中华医学超声杂志(电子版), 2024, 21(05): 477-483.
[11] 张妍, 原韶玲, 史泽洪, 郭馨阳, 牛菁华. 小肾肿瘤超声漏诊原因分析新思路[J/OL]. 中华医学超声杂志(电子版), 2024, 21(05): 500-504.
[12] 席芬, 张培培, 孝梦甦, 刘真真, 张一休, 张璟, 朱庆莉, 孟华. 乳腺错构瘤的临床与超声影像学特征分析[J/OL]. 中华医学超声杂志(电子版), 2024, 21(05): 505-510.
[13] 李华志, 曹广, 刘殿刚, 张雅静. 不同入路下行肝切除术治疗原发性肝细胞癌的临床对比[J/OL]. 中华普外科手术学杂志(电子版), 2025, 19(01): 52-55.
[14] 许月芳, 刘旺, 曾妙甜, 郭宇姝. 多粘菌素B和多粘菌素E治疗外科多重耐药菌感染临床疗效及安全性分析[J/OL]. 中华普外科手术学杂志(电子版), 2024, 18(06): 700-703.
[15] 张琛, 秦鸣, 董娟, 陈玉龙. 超声检查对儿童肠扭转缺血性改变的诊断价值[J/OL]. 中华消化病与影像杂志(电子版), 2024, 14(06): 565-568.
阅读次数
全文


摘要


AI


AI小编
你好!我是《中华医学电子期刊资源库》AI小编,有什么可以帮您的吗?